院長が自身の息子にも選んだ
東彼杵の
大安歯科医院が提案する
成長を利用した
バイオブロック矯正
この矯正治療を
受けた人数
200人
以上の実績
院長・副院長は
この治療の
指導医
を務めています
7歳までの
矯正スタートで、
お子さまに一生モノの
自信と健康を。
お子様の歯並びで
こんなお悩みありませんか?
矯正をさせてあげたいけれど
ワイヤーは痛そうだし、見た目も気になる
様子を見ましょうと言われたけれど
本当に大丈夫?
子供の歯がガタガタしてきている気がする…
バイオブロックってどうなの?
床矯正やワイヤー矯正、マウスピースなど
色々あるけど結局どれを選べばいいの?
近くの歯医者さんでいいの?
それとも遠くても専門的なところに通うべき?
その不安、痛いほど分かります。
実は私も息子に、バイオブロック矯正を
受けさせました。
東彼杵の歯医者 大安歯科医院
院長 大安 努
成長期だけに有効な治療法。歯を抜かずに、
「顎(あご)を正常な大きさに成長させる」
という選択肢。
当院が提案するのは、一般的なワイヤー矯正とは異なるアプローチです。無理に歯を並べるのではなく、お子様の成長する力を利用して「あご自体」を適正な大きさに広げる治療法です。バイオブロック治療といいます。
ワイヤーや床矯正との違い

一般的な
ワイヤー矯正
キレイに並ばなかった歯に対してアプローチをする矯正方法で、スペースを作るために抜歯をしたりすることがあります。歯並びはきれいになりますが、顔立ちの改善(変化)は大きくありません。

床矯正
床矯正は歯を並べることを目的とし、主に横方向に歯を動かします。ガミースマイルと呼ばれる、前歯が長く見える場合などは改善が難しいと思われます。
バイオブロック
対して「バイオブロック」は、お子様の成長しようとする力を利用して「顎(あご)自体を立体的に適正な大きさに広げる」という予防的な矯正法です。結果として歯がきれいに並ぶスペースができ、顔立ちが立体的で美しくなり、気道が広がることで呼吸や姿勢にも良い影響が期待できます。
バイオブロック治療の
期待される効果と利点
歯並びの改善
- 顎のスペースを正しく広げることで、永久歯がきれいに並ぶ土台を作ります。
- 歯並びを整え、清潔感のある口元を実現します。
- 歯磨きがしやすくなることで、将来的な虫歯や歯周病のリスクを軽減します。
- 食べ物をしっかり噛み切る・すり潰す力を育てます。
審美的効果
- Eラインが整い、美しい横顔が形成される。
- 正常でない発育(平面的で縦に長い顔)を、本来の正常な発育(立体的で丸みのある顔)に移行させる。
- 凛とした顔立ちになる
健康的・機能的効果
- 気道の大きさが十分に確保され、鼻詰まりやいびきが改善される場合がある。
- 目の下のクマ、あごがないような横顔、あごの下のたるみといった、見た目と機能に関わる問題の発生を防ぐ。
心理的効果
- 綺麗な歯並びと整った顔立ちは、子供が自分に自信を持つきっかけとなる。
- 「思いっきり笑って友達とおしゃべりしたり」「思いっきり笑って写真に写ったり」といった、何気ない日常の瞬間を心から楽しめるようになる。
体への負担が少ない
- 自分で取り外すことが可能なので、歯磨きのしにくさや、食事の時に詰まってしまう違和感など、お子様が矯正を嫌がるシーンを最小限に抑えられる。
- 器具で口の中に傷ができる事が少ないので、痛みが少ない。また、痛みが出た場合は、外して来院していただければすぐに調整できる。
動画で見る
実際のバイオブロック
佐賀県からバイオブロック治療に通っている7歳のお子様の、器具の装着・取り外しの様子を動画でご紹介します。
写真や文章だけでは伝わりにくい、取り扱いの様子をぜひご覧ください。
慣れたら鏡を見ずに取り外しできますよ!
安心して
任せられる
任せられる
大村・佐世保・県外からも
ご来院されています!
子供の矯正だけで200症例以上の実績と、指導医レベルの専門性
当院は、バイオブロック治療において200症例以上の実績があります。院長、副院長はただ治療を行うだけでなく、他の歯科医師にバイオブロックを教える指導医を務めており、常に最新の知識と技術をアップデートしています。

バイオブロック治療を受けたお子様の
症例紹介
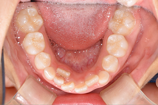
佐賀県から来院いただいているAくん
全体的な歯並びが気になるとご来院されました。
診査の結果、バイオブロック治療が最適だと判断し治療を行っております。
主な症状:前歯がまっすぐに生えておらず、全体的な隙間も無いため、永久歯が入れない。下の前歯で子供の歯の奥から大人の歯が生えてきてしまっている。
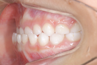
前歯の変化


前歯がまっすぐに生えておらず、全体的な隙間も無いため、永久歯が入れなかったのが、前歯がまっすぐになり、全体的に余裕も出た。
前歯の変化


下の前歯で子供の歯の奥から大人の歯が生えてきてしまっていたが、顎を正しい方向へ成長させる事で大人の歯がキレイに並ぶようになった。
全体的な変化


バイオブロック治療を受ける前は、歯並びの乱れに加え、口をいつもぽかんと開けていること、口呼吸が多いことも気にされていました。
治療後は歯並びの改善はもちろん、上あごの骨を立体的に広げることで鼻腔が広がり、鼻呼吸がしやすくなりました。また、舌が本来の正しい位置(上あごの裏)に収まるスペースができたため、「お口ポカン」の改善にもつながりました。
当初気にされていた症状が改善し、口呼吸から鼻呼吸へと変わったことは、全身の健康にとっても大きなメリットとなります。
| 治療内容 | バイオブロック矯正 |
|---|---|
| 費用 | 総額50万円前後 |
| 治療期間 | 4年 |
| リスク・副作用 | 装着時間が短いと十分な効果が得られない場合があります。 初期段階では装着時に違和感や発音のしにくさを感じることがありますが、通常数日で慣れます。 また、毎食後の丁寧なブラッシングが必要です。 数時間程度でも装置を外していると、元に戻ることがあるので、継続的な装着が必要です。 |
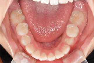
大村から来院いただいているKくん
受け口が気になる。
診査の結果、バイオブロック治療が最適だと判断し治療を行っております。
主な症状:上顎が小さくて、前歯の噛み合わせが上下反対になってしまっている。
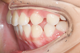
前歯の変化


上顎も下顎も正常な大きさに成長して、正しい位置関係になってきている。
顔貌の変化


中顔面(頬骨のあたり)が大きく成長して、正常な顔貌へと近づいている。
全体的な変化


上あご下あごの正常な大きさへの成長に伴い、お顔全体がバランスよく整ってきている。あごの成長によって、呼吸も楽になっていると思われる。
受け口だったのが改善し、本人も気にならなくなった。他院では大きくなってから手術が必要かもしれないと言われていたが、バイオブロック治療を受けて、装置だけで改善したのでご両親もとても喜ばれている。
| 治療内容 | バイオブロック矯正 |
|---|---|
| 費用 | 総額70万円前後 |
| 治療期間 | 5年 |
| リスク・副作用 | 装着時間が短いと十分な効果が得られない場合があります。 初期段階では装着時に違和感や発音のしにくさを感じることがありますが、通常数日で慣れます。 また、毎食後の丁寧なブラッシングが必要です。 数時間程度でも装置を外していると、元に戻ることがあるので、継続的な装着が必要です。 |
バイオブロック治療に
ついて
費用について
当院では、成長に合わせて
「必要な分だけ」
お支払いいただくシステムを採用しています。
個別相談

15分程度の無料相談を随時受け付けておりますので、まずはお気軽にご相談ください。
一通り治療についてご説明いたします。その後、初期診査をお受けになるかどうか、ご家庭でご検討いただきます。
初期診査費用

レントゲン、CT撮影・口腔内写真、顔貌写真、口腔内診察を含み、資料をそろえ1〜2時間かけて院長、副院長がじっくり診査診断します。改めてご来院いただき、診断結果、治療計画、費用などの説明を行います。
装置代

顎の成長に合わせ、5〜8回程度装置を作り変えます。その都度のお支払いです。
調整料

治療初期は2週間に1回、その後は月1回の通院です。

期間について
期間は個人差があり、3〜5年、またはそれ以上かかる場合もあります。

通院頻度
バイオブロック治療は基本
「月1回の通院」が必要です。
※ただし、お口の状態がダイナミックに変化する最初の半年〜1年間だけは、2週間に1回のペースでご来院いただいています。
最初の半年~1年間は、お子様の成長に合わせて院長・副院長が「ミリ単位以下」の精密な調整を重ねる、最も大切なステージです。こまめにチェックすることで、痛みや違和感を最小限に抑え、治療効果を最大限に引き出すことができます。「大変そう」と思われるかもしれませんが、この集中期間を過ぎれば、その後は月1回のメンテナンスへと移行します。「子供が一生付き合っていく歯並びや顔のために」と、遠方から頑張って通われるご家族もたくさんいらっしゃいます。
効果を出すためには、親御さんのご協力と
「7歳前後からのスタート」
が不可欠です。
適正な年齢
お子様の成長は、待ってはくれません。
1ヶ月、1年と過ぎるごとに、
利用できる「成長のエネルギー」は減ってしまいます。
「あの時やっておけば」と後悔してほしくないからこそ、
今、このタイミングでお伝えしています。
※ お口の成長度合いにもよりますが、当院では10歳から治療を開始された患者さまもいらっしゃいます。

まずはお子様の歯並びが
「今、治療が必要か」を
知ることから始めませんか?
お気軽にご相談ください。スタッフが丁寧に対応いたします。
メールでのお問い合わせはこちら
診療時間: 9:00〜18:00
定休日:水・日・祝
※土曜日は8:30〜12:30まで

バイオブロック治療についての
よくあるご質問
ワイヤー矯正のような「締め付けられる痛み」はほとんどありません。当院の装置は、お口の中に傷ができにくく、痛みも少ないのが特徴です。また、食事や歯磨きの時はご自身で取り外すことができますので、日常生活のストレスも少なく、多くの子供たちが無理なく続けています。
痛みが出た場合でも取り外していただいてご来院(調整)可能ですので、痛みを長時間我慢する必要はありません。
はい、対象年齢の子供を持つスタッフの多くが選んでいます。院長の息子をはじめ、当院スタッフの子どものうち、対象年齢にあたる10名中10名全員がこの治療を受けています。「自分の身内にも自信を持って勧められる治療」ですので、安心してお任せください。
5歳から7歳くらいがベストなスタート時期です。成長を利用する治療のため、4歳から7歳くらいの間で気になったら一度ご相談ください。
※中学生・高校生になっている場合は、別の治療法をご提案させていただきますので、まずはご相談ください。
いいえ、総額の一括払いの必要はありません。成長に合わせて装置を変えていくため、その都度のお支払いとなります。目安として、装置が変わるごとに装置代(7万2千円(税込))、調整代(2千円(税込))をお支払いいただいています。クレジットカードや各種電子マネーにも対応しています。
個人差はありますが、5年前後の方が多いです。最初は2週間に1回などの通院が必要ですが、治療が進むにつれて頻度は減り、最終的には1〜3ヶ月に1回程度になります。
佐世保・大村・県外からも多くの患者様が来院されています。現在150名以上のお子様が治療を受けており、遠方の方も多数いらっしゃいます。





